Понедельник
09.03.2026
08:32
Вы не прошли авторизацию
Новая регистрация Вход
Хориные новости
Архив новостей 14.02.2013 (9194)
Фото-хореман 2012 - результаты
Архив новостей 04.08.2010 (13298)
Фото-хореман 2010 - результаты
Архив новостей 24.06.2009 (16663)
Фото-хореман 2009 - результаты

Последняя фотка
Зоофилия
Последнее видео
Смотреть Видео-фильм Лесной хорек - Ozzy Osbourne
Правила портала Поиск по форуму Ленточный форум
  • Страница 1 из 1
  • 1
Модератор форума: Aelina  
Нужна помощь!! ПОЗВОНОЧНИК
Кияра # 1 | Дата: Пятница, 19.09.2014, 18:53 | Отредактировано: Кияра - Пятница, 19.09.2014, 18:53

37 сообщений (любитель)

хоревладелец
Протвино
С нами с 04.03.2010
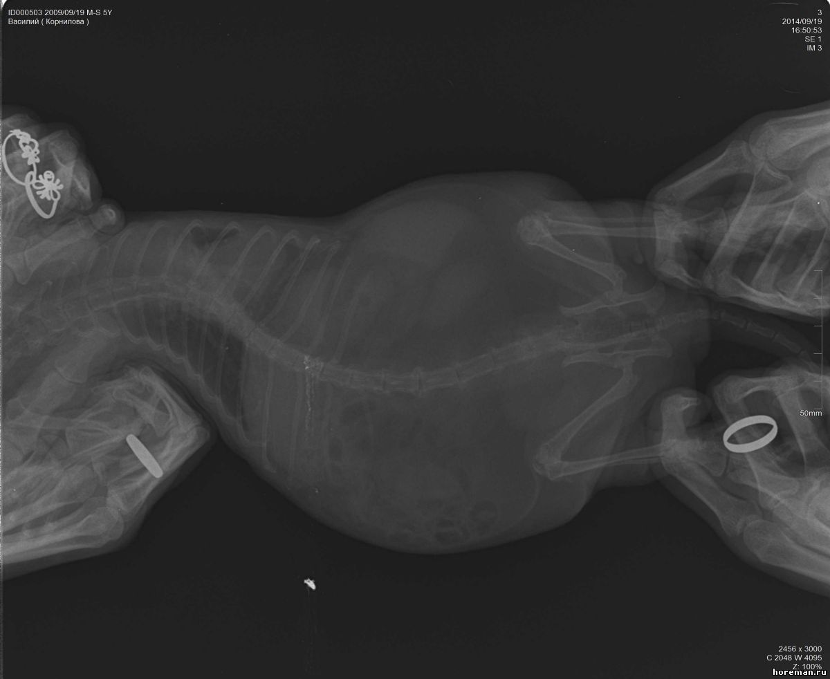
Добрый день! Нужно Ваше мнение по снимкам позвоночника моего хорька. 5 лет, кастрирован. Проблема с позвоночником, ползает на задних лапах, болевых ощущений нет, так же энергичен, игрив. Анализы все хорошие. Снимки не очень хорошего качества, завтра переделаем, но все же....
Подскажите.....Мнения нашего вета это защимление нервов в грудном отделе и что то там с позвонком выше поясницы, говорит нужна операция нейрохирургическая... :'(

Прикрепленный файл: 1991322.jpg (51.9 Kb) · 0357150.jpg (62.6 Kb) · 7876473.jpg (55.9 Kb)
Хорьки: Васёк
Нет меня 
Жалоба
мыха-норуха # 2 | Дата: Пятница, 19.09.2014, 20:39

451 сообщений (хоревод)

хоревладелец
Санкт-Петербург
С нами с 29.09.2011
Кияра, на форуме нет ветеринаров, как таковых. Да и поиски консультаций в интернете - это гадание на кофейной гуще.
Где вы делали снимки, анализы? У какого врача? Что он сказал? При каких обстоятельствах появились проблемы с позвоночником и как давно?

Хорьки: Клеопатра(Клёпа) «12.05.2012»Каспер «22.08.2011» • Сэмуэль 1.8.13. • Гизмо 1.4.14. • Томас ♡1.4.14-6.10.17 • Кроха ♡ Линч ♡
"Красная Нить" Помощь хорькам
Нет меня 
Жалоба
Кияра # 3 | Дата: Пятница, 19.09.2014, 22:07

37 сообщений (любитель)

хоревладелец
Протвино
С нами с 04.03.2010
мы из московской области г. протвино. проблема с детства. раз в год такое было не не более 3 дней. в этот раз уже месяц. завтра переделываем снимки, и уже что то решат.. скорее всего поедим в москву с ним...
Хорьки: Васёк
Нет меня 
Жалоба
vasill # 4 | Дата: Пятница, 19.09.2014, 22:43

8 сообщений (новичок)

новичок
апрелевка
С нами с 19.09.2014
Здравствуйте. Вот с ферретклубного форума аналогичная ситуация:
Во второй раз позвонила зареванная коллега с работы, хоревод по совместительству, и сообщила что ее мальчик выпал из окна - смещение позвонков паралич(((. Причем в клиниках куда она обращалась советовали не мучить, лишь облегчая уколами состояние зверя. Мало надеясь на хороший исход я уговорил ее съездить к Шелякову, благо он работал в ту ночь. И наш, теперь уже постоянный, врач справился с ситуацией проведя операцию. Сейчас мало что напоминает о травме. Позже я пытался найти информацию в паутине как вообще делают операции хорькам на позвоночник. Ничего не нашел. Может кто -то сталкивался с подобными травмами позвоночника? http://ferretclub.ru/forum/archive/index.php/t-847.html
Лично знаю доктора. Правда по более легким случаям. В основном стерилизовал у него. Может поможет. его сайт doctor-veterinar.ru

Нет меня 
Жалоба
Кияра # 5 | Дата: Пятница, 19.09.2014, 22:46

37 сообщений (любитель)

хоревладелец
Протвино
С нами с 04.03.2010
спасибо я учту, я все такие надеюсь что у нас ничего серьезного..
Хорьки: Васёк
Нет меня 
Жалоба
Grey # 6 | Дата: Воскресенье, 21.09.2014, 15:03

618 сообщений (хоревед)

новичок
Москва
С нами с 25.08.2008
Если проблемы с позвоночником, то время играет огромную роль, иначе будет просто поздно. Обратитесь к московским ветам. В Шанс на Калужской, к Мартыновым , Кириллу или Татьяне.
Рик, Айса
Нет меня 
Жалоба
  • Страница 1 из 1
  • 1
Поиск:


Нравится
Все права защищены зубами, когтями и вонялками!!! Связаться с нами: . Хостинг от uCoz